Ten artykuł szczegółowo omówi objawy zwichnięcia kostki, pomagając szybko zidentyfikować ten poważny uraz. Dowiesz się, jak odróżnić zwichnięcie od skręcenia, jakie kroki podjąć natychmiast po urazie oraz czego spodziewać się podczas diagnostyki i leczenia.
Zwichnięcie kostki to poważny uraz wymagający pilnej interwencji medycznej.
- Zwichnięcie kostki objawia się silnym bólem, widoczną deformacją stawu i niemożnością obciążenia kończyny.
- Kluczową różnicą między zwichnięciem a skręceniem jest trwałe przemieszczenie powierzchni stawowych w przypadku zwichnięcia.
- Nigdy nie próbuj samodzielnie nastawiać zwichniętego stawu, aby uniknąć dalszych uszkodzeń.
- Natychmiast po urazie unieruchom staw, zastosuj zimny okład i jak najszybciej udaj się na SOR.
- Diagnostyka obejmuje RTG, a leczenie nastawienie stawu i długotrwałe unieruchomienie.
- Rehabilitacja jest niezbędna do pełnego powrotu do sprawności po zwichnięciu kostki.

Nagły ból i deformacja kostki? To mogą być objawy zwichnięcia!
Zwichnięcie kostki to uraz, który zawsze wymaga natychmiastowej uwagi medycznej. Jeśli szukasz informacji o objawach, prawdopodobnie Ty lub ktoś w Twoim otoczeniu doświadczył właśnie takiego zdarzenia. Moim celem jest dostarczenie Ci jasnych i precyzyjnych wskazówek, które pomogą Ci szybko ocenić sytuację i podjąć odpowiednie kroki. Pamiętaj, że szybkie rozpoznanie objawów zwichnięcia jest kluczowe dla uniknięcia poważnych powikłań i zapewnienia prawidłowego leczenia. Nie lekceważ żadnego z sygnałów, które wysyła Twoje ciało.
Dlaczego szybkie rozpoznanie jest kluczowe dla Twojego zdrowia?
Opóźnienie w diagnozie i leczeniu zwichnięcia kostki może mieć naprawdę poważne konsekwencje. Z mojej praktyki wiem, że brak szybkiej interwencji może prowadzić do przewlekłego bólu, niestabilności stawu, a nawet uszkodzeń chrząstki stawowej, co w dłuższej perspektywie może skutkować przedwczesnym zwyrodnieniem. Dlatego tak bardzo podkreślam, że szybka pomoc medyczna jest absolutnie niezbędna dla pełnego powrotu do zdrowia i uniknięcia długotrwałych problemów.
Jak odróżnić ten poważny uraz od zwykłego "podbicia" nogi?
Wielu moich pacjentów początkowo myli zwichnięcie z lżejszymi urazami, takimi jak mocne skręcenie czy "podbicie" nogi. Owszem, ból może być podobny, ale zwichnięcie charakteryzuje się pewnymi kluczowymi objawami, które jednoznacznie wskazują na jego poważniejszy charakter. Najważniejsza jest widoczna deformacja stawu, o której za chwilę opowiem szczegółowo. Chociaż sytuacja może wydawać się dramatyczna, zachowaj spokój. Pamiętaj, że lekarze są przygotowani na takie przypadki i wiedzą, jak skutecznie Ci pomóc. Najważniejsze to jak najszybciej zgłosić się po pomoc.
7 kluczowych objawów zwichnięcia kostki, których nie możesz zignorować
Poniższe objawy są typowe dla zwichnięcia kostki i ich wystąpienie powinno być dla Ciebie sygnałem alarmowym, który skłoni Cię do natychmiastowej wizyty u lekarza. To sygnały, których absolutnie nie wolno lekceważyć, ponieważ wskazują na poważne uszkodzenie stawu.
1. Ostry, przeszywający ból sygnał alarmowy numer jeden
Ból towarzyszący zwichnięciu kostki jest zazwyczaj niezwykle silny, nagły i przeszywający. Często jest tak intensywny, że praktycznie uniemożliwia jakikolwiek ruch w stawie. To jeden z pierwszych i najbardziej dotkliwych objawów, który pojawia się w momencie urazu i nie ustępuje samoistnie. Wskazuje on na rozległe uszkodzenie tkanek i przemieszczenie kości.2. Widoczna deformacja dlaczego staw wygląda nienaturalnie?
To jest moim zdaniem kluczowy objaw, który odróżnia zwichnięcie od skręcenia. Przy zwichnięciu staw wygląda na "wypadnięty" lub "przesunięty", a jego kształt jest wyraźnie nienaturalny. Dzieje się tak, ponieważ doszło do trwałego przemieszczenia powierzchni stawowych kości. Jeśli widzisz, że Twoja kostka wygląda inaczej niż zwykle, to niemal pewne jest, że masz do czynienia ze zwichnięciem.
3. Błyskawiczna opuchlizna i narastający obrzęk
Opuchlizna, czyli obrzęk, pojawia się bardzo szybko po urazie, często niemal natychmiast, i może być naprawdę znaczna. Jest to naturalna reakcja organizmu na uszkodzenie tkanek miękkich, takich jak torebka stawowa i więzadła, oraz na wewnętrzne krwawienie. Im szybciej i bardziej narasta obrzęk, tym poważniejszy zazwyczaj jest uraz.
4. Krwiak i zasinienie skąd się biorą?
Zasinienie i krwiak pojawiają się zazwyczaj nieco później niż ból i opuchlizna, stopniowo rozwijając się wokół miejsca urazu. Są one wynikiem wewnętrznego krwawienia, spowodowanego uszkodzeniem drobnych naczyń krwionośnych w okolicy stawu. Ich pojawienie się jest kolejnym dowodem na rozległość urazu.
5. Całkowita blokada niemożność poruszania stopą
Z powodu silnego bólu i przede wszystkim przemieszczenia kości, ruchomość w stawie jest zazwyczaj całkowicie zablokowana. Każda próba poruszenia stopą jest niezwykle bolesna i często niemożliwa do wykonania. To wyraźny sygnał, że struktury stawowe są poważnie naruszone i nie funkcjonują prawidłowo.
6. Utrata stabilności dlaczego nie możesz stanąć na nodze?
Przy zwichnięciu każda próba obciążenia kończyny lub stanięcia na nodze kończy się silnym bólem i poczuciem całkowitej niestabilności. Staw nie jest w stanie utrzymać ciężaru ciała, co uniemożliwia normalne funkcjonowanie i poruszanie się. To odczucie braku podparcia jest bardzo charakterystyczne.
7. Drętwienie lub mrowienie niepokojący objaw ucisku na nerwy
W niektórych przypadkach, jeśli przemieszczone kości uciskają na nerwy przechodzące w okolicy stawu, może pojawić się drętwienie lub mrowienie w stopie. Jest to dodatkowy sygnał alarmowy, który wskazuje na potencjalne uszkodzenie nerwów i wymaga pilnej oceny medycznej, aby uniknąć trwałych powikłań neurologicznych.
Zwichnięcie czy skręcenie? Najważniejsza różnica, która decyduje o wszystkim
Dla osoby bez wiedzy medycznej rozróżnienie zwichnięcia od skręcenia może być trudne, ponieważ oba urazy są bolesne i często towarzyszy im opuchlizna. Jednak zrozumienie kluczowej różnicy jest absolutnie fundamentalne, ponieważ decyduje o dalszym postępowaniu i pilności interwencji. Zwichnięcie jest zawsze znacznie poważniejsze i wymaga natychmiastowej uwagi.
Mechanizm urazu: Co dokładnie dzieje się w stawie podczas zwichnięcia?
Zwichnięcie to poważny uraz, w którym dochodzi do trwałego przemieszczenia się powierzchni stawowych kości względem siebie. Wyobraź sobie, że kości, które powinny idealnie do siebie pasować, zostają „wypchnięte” ze swojego miejsca. Temu zawsze towarzyszy uszkodzenie, a często nawet rozerwanie, torebki stawowej i więzadeł, które normalnie stabilizują staw. To właśnie to trwałe przemieszczenie jest przyczyną widocznej deformacji stawu, o której wspomniałem wcześniej to kluczowy wskaźnik, że mamy do czynienia ze zwichnięciem.
Skręcenie łagodniejszy, ale równie bolesny uraz
Skręcenie, choć również bardzo bolesne, jest urazem o innym mechanizmie. Polega ono na chwilowym przekroczeniu fizjologicznego zakresu ruchu w stawie. Kości na moment tracą kontakt, ale wracają na swoje miejsce. W jego wyniku dochodzi do naciągnięcia lub rozerwania torebki stawowej i więzadeł, ale bez trwałego przemieszczenia kości. Ruchomość w stawie jest zazwyczaj zachowana, choć oczywiście jest bardzo bolesna i ograniczona. To właśnie brak widocznej deformacji i możliwość (choć bolesnego) ruchu w stawie odróżnia skręcenie od zwichnięcia.
Tabela porównawcza: Zobacz, jak łatwo odróżnić oba urazy na pierwszy rzut oka
Aby ułatwić Ci szybką ocenę, przygotowałem krótkie zestawienie najważniejszych różnic:
| Cecha | Zwichnięcie | Skręcenie |
|---|---|---|
| Deformacja stawu | Widoczna, nienaturalne ułożenie | Brak |
| Ból | Bardzo silny, często uniemożliwiający ruch | Silny, ale ruch możliwy z bólem |
| Ruchomość stawu | Całkowicie zablokowana | Ograniczona, bolesna |
| Mechanizm | Trwałe przemieszczenie kości | Chwilowe przekroczenie zakresu ruchu |
| Pilność interwencji | Pilna, SOR | Zazwyczaj konsultacja lekarska |
Co robić natychmiast po urazie? Pierwsza pomoc w 3 krokach
Prawidłowo udzielona pierwsza pomoc natychmiast po urazie jest absolutnie kluczowa. Może ona znacząco ograniczyć ból, zminimalizować dalsze uszkodzenia i przygotować poszkodowanego do transportu medycznego. Pamiętaj, że Twoje działania w pierwszych minutach mają ogromne znaczenie, ale musisz działać rozważnie i z pełną świadomością.Krok 1: Zabezpiecz i unieruchom ale nigdy nie nastawiaj samodzielnie!
Najważniejsza zasada: należy unieruchomić staw w zastanej pozycji. Możesz do tego użyć prowizorycznego usztywnienia, np. z kawałka kartonu, gazety czy deseczki, owijając je bandażem lub szalikiem. Celem jest zapobieżenie dalszym ruchom i pogłębianiu urazu. Podkreślam to bardzo wyraźnie: nigdy, przenigdy nie próbuj samodzielnie nastawiać zwichniętego stawu! Taka próba może spowodować poważne i nieodwracalne uszkodzenia naczyń krwionośnych, nerwów, a nawet doprowadzić do złamania kości. To zadanie wyłącznie dla wykwalifikowanego personelu medycznego.
Krok 2: Chłodzenie jak prawidłowo stosować lód, by sobie pomóc, a nie zaszkodzić?
Zastosowanie zimnych okładów jest bardzo pomocne w celu zmniejszenia bólu i obrzęku. Użyj lodu, ale zawsze pamiętaj, aby owinąć go w szmatkę lub ręcznik nigdy nie przykładaj lodu bezpośrednio do skóry, ponieważ może to spowodować odmrożenia. Stosuj okłady przez około 15-20 minut, co kilka godzin. Chłodzenie pomaga obkurczyć naczynia krwionośne, co ogranicza krwawienie wewnętrzne i powstawanie obrzęku.
Krok 3: Wezwij pomoc lub udaj się na SOR dlaczego czas odgrywa tu krytyczną rolę?
Zwichnięcie kostki to stan pilny, który wymaga natychmiastowej interwencji lekarskiej. Nie zwlekaj! Należy jak najszybciej udać się na Szpitalny Oddział Ratunkowy (SOR) lub wezwać pogotowie, jeśli transport jest utrudniony. Czas odgrywa tu krytyczną rolę, ponieważ szybkie nastawienie stawu minimalizuje ryzyko powikłań, takich jak uszkodzenia chrząstki stawowej czy trudności w późniejszej rehabilitacji. Im szybciej staw zostanie nastawiony, tym lepsze są rokowania na pełny powrót do zdrowia.
Jak lekarz stawia diagnozę? Czego spodziewać się w gabinecie i na SOR
Kiedy trafisz do lekarza, czy to na SOR, czy do ortopedy, proces diagnostyczny będzie miał na celu potwierdzenie zwichnięcia, wykluczenie innych urazów, takich jak złamania, oraz ocenę stopnia uszkodzenia. Chcę Cię uspokoić lekarze mają jasno określone procedury i narzędzia, aby skutecznie postawić diagnozę i zaplanować leczenie.
Wywiad medyczny i badanie fizykalne o co zapyta specjalista?
Pierwszym krokiem będzie szczegółowy wywiad medyczny. Lekarz zapyta Cię o okoliczności urazu jak doszło do zwichnięcia, w którą stronę stopa się wygięła, jaki był ból i czy słyszałeś jakiś trzask. Następnie przeprowadzi badanie fizykalne. Ostrożnie oceni deformację stawu, sprawdzi stopień obrzęku, zlokalizuje najbardziej bolesne miejsca i zbada, czy nie ma zaburzeń czucia w stopie, co mogłoby wskazywać na ucisk na nerwy. To wszystko pozwala mu wstępnie ocenić sytuację.
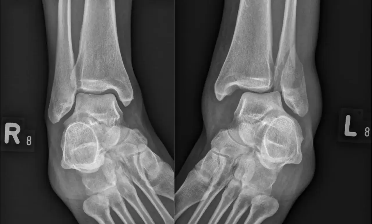
RTG dlaczego prześwietlenie jest absolutnie niezbędne?
Podstawowym i absolutnie niezbędnym badaniem diagnostycznym w przypadku podejrzenia zwichnięcia jest zdjęcie rentgenowskie (RTG). RTG pozwala nie tylko potwierdzić fakt zwichnięcia, czyli trwałe przemieszczenie kości, ale co równie ważne wykluczyć towarzyszące złamania. Przy tak poważnych urazach, jak zwichnięcie, bardzo często dochodzi również do złamań kości, dlatego precyzyjna ocena RTG jest kluczowa dla dalszego planowania leczenia.
Inne badania (USG, tomografia) kiedy są konieczne?
W niektórych przypadkach, gdy samo RTG nie daje pełnego obrazu urazu, lekarz może zlecić dodatkowe badania. Na przykład, jeśli istnieje podejrzenie uszkodzenia tkanek miękkich więzadeł, torebki stawowej czy chrząstki może zostać wykonana ultrasonografia (USG). W bardziej skomplikowanych sytuacjach, zwłaszcza gdy podejrzewa się trudne do zdiagnozowania złamania lub rozległe uszkodzenia struktur kostnych, konieczna może być tomografia komputerowa (TK). Te badania dostarczają bardziej szczegółowych informacji, co pozwala na precyzyjne zaplanowanie leczenia.
Droga do sprawności: Jak wygląda leczenie i rehabilitacja po zwichnięciu kostki?
Leczenie zwichnięcia to proces wieloetapowy, który nie kończy się na samym nastawieniu stawu. To dopiero początek. Chcę, abyś wiedział, że rehabilitacja jest równie ważna, jak sama interwencja medyczna, i stanowi klucz do pełnego powrotu do sprawności. Bez niej ryzyko powikłań i nawrotów urazu jest znacznie większe.
Nastawienie stawu na czym polega zabieg?
Pierwszym i najważniejszym krokiem w leczeniu zwichnięcia jest nastawienie stawu, czyli przywrócenie kościom ich prawidłowego anatomicznego położenia. Ten zabieg musi wykonać wykwalifikowany lekarz, zazwyczaj ortopeda, i najczęściej odbywa się on w znieczuleniu miejscowym lub ogólnym. Znieczulenie jest niezbędne, aby zminimalizować ból i umożliwić rozluźnienie mięśni, co ułatwia manipulacje. To procedura, która wymaga precyzji i doświadczenia, dlatego tak ważne jest, aby trafić w ręce specjalisty.
Unieruchomienie: Gips czy orteza co i na jak długo?
Po skutecznym nastawieniu stawu konieczne jest jego unieruchomienie. Ma to na celu zapewnienie stabilności i umożliwienie gojenia się uszkodzonych tkanek torebki stawowej i więzadeł. Najczęściej stosuje się opatrunek gipsowy lub specjalistyczną ortezę. Czas unieruchomienia jest zmienny i zależy od rozległości urazu, ale zazwyczaj wynosi od kilku do kilkunastu tygodni. Lekarz zdecyduje, która metoda unieruchomienia będzie dla Ciebie najlepsza i na jak długo, biorąc pod uwagę indywidualny przypadek.
Przeczytaj również: Objawy refluksu: Zgaga to nie wszystko! Kiedy szukać pomocy?
Rola fizjoterapii: Klucz do odzyskania pełnego zakresu ruchu i uniknięcia powikłań
Nie mogę wystarczająco podkreślić, jak ważna jest rehabilitacja po zwichnięciu. To absolutnie niezbędny element powrotu do pełnej sprawności. Fizjoterapia pomaga w odzyskaniu pełnego zakresu ruchu w stawie, wzmocnieniu osłabionych mięśni, poprawie stabilności stawu i co bardzo ważne propriocepcji, czyli czucia głębokiego, które odpowiada za świadomość pozycji ciała w przestrzeni. Regularne ćwiczenia pod okiem doświadczonego fizjoterapeuty minimalizują ryzyko nawrotów urazu i przewlekłych dolegliwości, zapewniając Ci długotrwałe zdrowie i sprawność.
